
Grâce à une décennie de recherches approfondies et continues sur ses propres technologies de base, MinFound Medical a également prêté attention à l'application clinique des systèmes. Les solutions développées par MinFound Medical pour l'imagerie médicale peuvent satisfaire diverses demandes et exigences cliniques.

Grâce à l'intégration d'une plate-forme d'algorithmes d'automatisation du flux de travail et d'un détecteur sphérique ultra-large de 16 cm, QuantumEye 789 peut faciliter non seulement l'exécution de tâches de diagnostic clinique de routine ou avancées, mais aussi aller plus loin et élargir les frontières de la visualisation grâce à des capacités d'imagerie de recherche étendues. Sa large couverture permet d'utiliser une canette en un seul battement et en une seule rotation.






La solution CT dotée de capacités cardio étendues comprend un détecteur ScintiStar breveté à 64 rangées. Le matériel du système est méticuleusement conçu pour obtenir d'excellents résultats cliniques avec des images de haute qualité, tout en restant facile à entretenir. La technologie de déclenchement ECG et l'analyse de la forme d'onde en temps réel détectent automatiquement les arythmies et les anomalies, garantissant ainsi la capture d'un battement cardiaque normal pour l'imagerie cardiaque. L'imagerie cardiaque multiphasée sans précédent permet d'atteindre une résolution temporelle de 39 ms, ce qui facilite considérablement les examens cardiaques, même en cas de rythme cardiaque rapide.






La solution CT la plus polyvalente avec 8 configurations est très populaire dans différentes gammes de cliniques. Le matériel de ce scanner CT a permis de mettre en œuvre la capacité complète d’applications cliniques étendues.




Scan de la tête : Méningiome

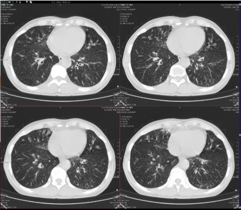
Scanner thoracique: modifications interstitielles, bronchectasie


Hématome avec effet de masse dans les noyaux gris centraux gauches




MinFound Medical est devenu le premier fabricant en Chine à produire massivement un détecteur PET numérisé. En recherchant et en développant indépendamment la meilleure technologie pour le système TEP/CT d'avant-garde et en réalisant la réalisation du détecteur TEP entièrement numérique avec la technologie TOF, les deux solutions TEP/CT ont de larges gammes de capacités cliniques.



Goitre ectopique intrapulmonaire, homme, 52 ans

Cancer de l'estomac, Femme, 67 ans, 155 cm, 75,7 kg

Cancer du poumon, Femme, 73 ans, 54 kg




Met également en œuvre la planification du traitement de radiothérapie


