Galería Clínica

Caso 1-1<br>Meningioma

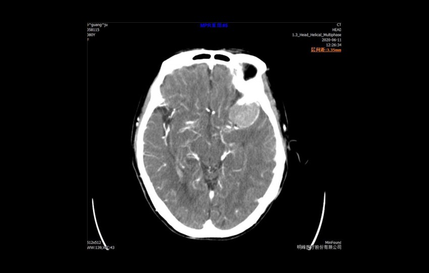
Caso 1-1
Meningioma

Caso 1-2

Caso 1-2

Caso 1-3

Caso 1-3

Caso 1-4

Caso 1-4

Caso 1-5

Caso 1-5

Caso 2-1<br>Metástasis hepática con fase arterial

Caso 2-1
Metástasis hepática con fase arterial

Caso 2-2<br>Fase de la Vena Portal

Caso 2-2
Fase de la Vena Portal

Caso 2-3<br>Fase de retardo

Caso 2-3
Fase de retardo

Caso 2-4

Caso 2-4